LIMPIEZA DENTAL

¿POR QUÉ HACERTE UNA LIMPIEZA DENTAL?

  • ✔ Elimina sarro y placa bacteriana
  • ✔ Reduce el mal aliento
  • ✔ Reduce la inflamación en las encías
  • ✔ Disminuye el riesgo de caries
  • ✔ Deja la superficie de los dientes lisa
Limpieza dental profesional

$549 MXN

Tiempo aproximado: 45 minutos

¿CÓMO REALIZAMOS LA LIMPIEZA?

  • Revelado de placa bacteriana: Utilizamos un revelador especial para mostrar las zonas donde se acumula placa y así explicar de manera visual tu situación actual.
  • Eliminación de sarro con ultrasonido profesional: Retiramos el sarro de forma precisa, cuidando tus encías y evitando procedimientos dolorosos.
  • Profilaxis y pulido con pasta profiláctica: Limpiamos y pulimos la superficie de tus dientes para dejarlos lisos y con sensación de limpieza profunda.
  • Educación de higiene personalizada: Te explicamos cómo cepillarte y usar hilo/interdental según tu caso, para mantener los resultados por más tiempo.
AGENDAR LIMPIEZA

¿POR QUÉ ELEGIRNOS?

Lo que hace diferente tu limpieza dental en Olmos Dental

  • Revelado de placa para diagnosticar con precisión.
  • Ultrasonido moderno y menos invasivo (sin dolor innecesario).
  • Atención personalizada 1 a 1 con tiempo suficiente para ti.
  • Limpieza real, no una “pasada rápida” de 10 minutos.
  • Ambiente seguro y honesto, con explicación clara de cada paso.

GARANTÍA
OLMOS DENTAL

Nos comprometemos a brindarte una limpieza detallada y cuidadosa. Si sientes que alguna zona no quedó bien, la revisamos contigo en la misma cita.

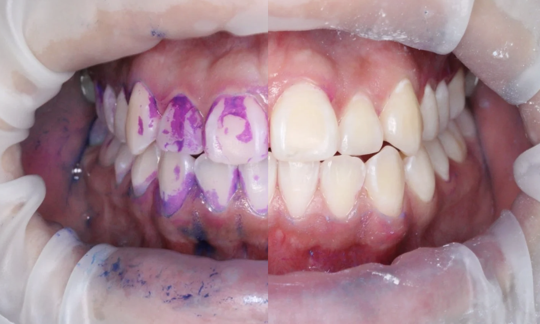
ANTES Y DESPUÉS

Antes y después de limpieza dental

Mostramos el cambio real en tus dientes después de la limpieza para que veas claramente la diferencia.

LO QUE NO TE VAN A DECIR EN OTRAS CLÍNICAS

  • Utilizamos reveladores de placa para que visualices tu situación real.
  • No “saltamos” piezas: revisamos diente por diente con calma.
  • No recortamos el tiempo de tu cita: tu salud va primero.

EXPLICACIÓN VISUAL

Explicación visual de limpieza dental

Te mostramos fotos del antes y después, y te explicamos qué zonas requieren mayor cuidado para que puedas mejorar tu higiene diaria.

VER CASOS REALES ¿ES TU PRIMERA LIMPIEZA? TE ORIENTAMOS AQUÍ